'Sağlıklı Dişler Güzel Gülüşler''
Herkes Gülsün Diye...
Konforu ve memnuniyeti ön planda tutarak işinde profesyonel olmanın yanı sıra; disiplinli, güler yüzlü personeliyle hastalarına rahat ve huzurlu bir ortam sağlamayı, deneyimli ve uzman hekimleriyle kaliteli hizmet vermeyi ilke edinmiştir.

Sağlıkla Gülümse...
Her kitleye ve ihtiyaca hitap etmek amacıyla hizmetine uzun yıllardan günümüze aralıksız devam eden Nora Dent Diş sağlığı merkezi, uzman kadrosu ve son derece motive ekibiyle büyümeye ve Gülümsetmeye devam ediyor...

İmplant Tedavisi
Diş implantları sahip olabileceğiniz sağlıklı ve doğal dişlere en yakın olanlardır.
Kanal Tedavisi
Diş pulpasına kadar ilerlemiş problemler ile ilgilenen diş hekimliği dalıdır.
Ortodonti (Tel Tedavisi)
Ortodontidişlerin doğru konumlandırılmasını sağlayarak gülüşünüzü etkiler.
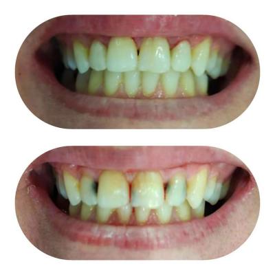
Diş Beyazlatma
Dişlerin renk değişirmlerinin azalmasını teknoloji yardımıyla beyazlamasını sağlayan bir işlemdir.
Cerrahi Operasyonlar
Genellikle lokal anestezi altında, minimum iyileşme süresi ile gerçekleştirilir.
Dolgu Uygulamaları
Zarar görmüş bir dişin, fonksiyonu ve görünümü geri kazandırılır.
Pedodonti (Çocuk Diş Tedavisi)
Süt dişleri ve yeni süren dişlerin yapısı bir yetişkin dişine göre oldukça farklıdır.
Protetik Tedaviler (Diş Eksikliği)
Kaybedilen dişlerin, çeşitli protezler kullanılarak, fonksiyon ve estetiğinin yerine konması işlemine protetik diş tedavisi denir.
İmplant Tedavisi
Diş implantları sahip olabileceğiniz sağlıklı ve doğal dişlere en yakın olanlardır.
%100 Hasta Memnuniyeti
Diş hekimliğindeki bütün branşları, uzman kadrosuyla bir çatı altında topladık.. Nora Dent hakkında hastalarımız ne düşünüyor?
Nora Dent ailesi olarak sağlık ağızda başlar sloganı ile yola çıktık bünyemizde bulunan tecrübeli uzman hekim kadrosu ve teknolojik alt yapısı ile Nora Dent olarak sektörün öncülerinden olmayı hedeflemekteyiz.
Diş hekimliği mesleki etik kurallarına sıkı sıkıya bağlı bilimsel diş hekimliği uygulanan polikliniğimizde ana hedefimiz sağlıklı uzun süreli hızlı ve güvenilir çözümler üretmektedir.


Sağlıklı Dişler Güzel Gülüşler
Noradent Ağız ve Diş Sağlığı merkezi açıldığı tarihten günümüze yeni nesil diş hekimliğini kendi değerleriyle birleştirerek uygulamalarını kişiye özel çözümlerle ortaya koymayı hedeflemiştir. Çene cerrahisi, implantoloji, ortodonti, estetik diş hekimliği, pedodonti (çocuk dişleri), kanal tedavisi, diş eti hastalıkları gibi diş hekimliğinin bütün alanlarında uzman kadrosuyla hizmet vermektedir
100%
Hasta Memnuniyeti
100%
Sağlıklı Dişler
Randevunuzu hemen almak için bizi arayarak iletişime geçin..
Herhangi bir sorunuz varsa veya yardıma ihtiyacınız varsa, tıbbi yardım için bizimle iletişime geçmekten çekinmeyin.


